Empiema epidural por sinusitis frontal aguda bacteriana

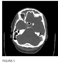
Paciente varón de 39 años sin antecedentes personales de interés que ingresa por sinusitis complicada clínica y radiológica.

DRES. CASAS CUADRADO L, CARDENETE MUÑOZ G, DE LA FUENTE CAÑIBANO R, ALAÑÓN FERNÁNDEZ MA. HOSPITAL GENERAL UNIVERSITARIO DE CIUDAD REAL.

Publicación 19-11-2020

Introducción

Documentamos un caso clínico de relevancia: sinusitis aguda de evolución tórpida con complicación intracraneal durante el ingreso.


Descripción del caso

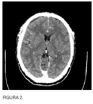
Paciente varón de 39 años sin antecedentes personales de interés que ingresa por sinusitis complicada clínica y radiológica (figura 1) de tres semanas de evolución que presenta cefalea frontal intensa que no mejora con tratamiento antibiótico, corticoideo tópico y sistémico. Tras cinco días de ingreso con tratamiento intravenoso comienza con aumento de la cefalea frontal y fiebre por lo que se realiza nuevo TAC de senos paranasales (figura 2) en el que se aprecia sinusitis frontal y etmoidal bilateral con un pequeño empiema epidural frontal derecho sin aparente dehiscencia ósea de la pared posterior de seno frontal ipsilateral.

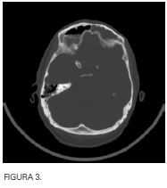
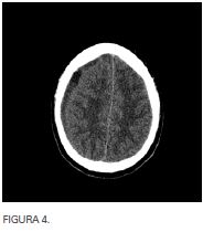
Se decide realizar cirugía urgente con unciformectomía, meatotomía media, etmoidectomía anterior, acceso a ambos recesos frontales con cultivo de contenido purulento de seno frontal derecho por vía endoscópica; por parte de neurocirugía actitud expectante. Tras mejoría clínica inicial y a pesar de no llevar taponamiento nasal, a las 32 horas presenta aumento de la cefalea frontal, así como occipital por lo que se realiza estudio radiológico urgente (figuras 3, 4 y 5). En el mismo se demuestra correcta aireación de seno frontal derecho así como progresión de empiema epidural con  componente subdural hacia convexidad derecha, desplazamiento de la línea media, paquimeningitis y cerebritis adyacentes. Pese a la gravedad de las imágenes el paciente no presenta focalidad neurológica y tiene una puntuación de 15 en la escala de coma de Glasgow. 

En este momento se realiza craneotomía derecha para evacuación del contenido purulento intracraneal. También se realiza nueva exploración endoscópica, no apreciando solución de continuidad
entre el espacio epidural y el seno frontal derechos.
En el cultivo de contenido purulento de seno frontal derecho se demuestra presencia de streptococcus mutans y fusobacterium necrophorum, en el contenido intracraneal se aísla este último.
Tres semanas después con tratamiento antibiótico dirigido por antibiograma el paciente, asintomático, es dado de alta, habiendo desaparecido la colección intracraneal y apreciando únicamente engrosamiento de la mucosa de revestimiento del seno frontal derecho en la Resonancia Magnética Nuclear.

Discusión

Las complicaciones intracraneales de las sinusitis agudas son raras; se cree que la forma más frecuente de progresión de la infección desde el foco sinusal al intracraneal son los trombos sépticos a través de las venas de la base del cráneo que penetran en la duramadre. Menos frecuente es la extensión directa de la infección a través de la osteomielitis del hueso frontal o defecto óseo congénito. A menudo concurren con complicaciones orbitarias. Las complicaciones intracraneales más frecuentes son el empiema epidural y subdural; a menudo se producen en varones adultos jóvenes sanos, como es el caso que presentamos. 
Más excepcional es el absceso cerebral, el cual suele desencadenarse como consecuencia de la cerebritis producida por la progresión de una colección epidural o subdural.
Los patógenos causantes de estas infecciones más frecuentes son los estreptococos aerobios, estafilococos, y los anaerobios estrictos, como es el caso que presentamos.
El síntoma más frecuente es el dolor de cabeza; las complicaciones intracraneales con componente de empiema subdural como el que presentamos suelen tener una clínica más explosiva y
evolución tórpida. Llama la atención la ausencia de focalidad neurológica en todo momento, así como la ausencia de disminución del nivel de conciencia.

Conclusión

Se estima que el 0,43% de los pacientes tratados quirúrgicamente por sinusitis tienen una complicación intracraneal. La tomografia axial computerizada (TAC) y la resonancia magnética nuclear son las pruebas radiológicas más fiables para el diagnóstico y seguimiento de las complicaciones intracraneales. La angiografía por resonancia magnética puede ser útil para identificar trombosis venosas y daño isquémico adyacente al foco infeccioso. Las pruebas radiológicas son fundamentales para monitorizar la efectividad del tratamiento antimicrobiano.

Como parte fundamental del tratamiento debemos realizar un abordaje multidisciplinario, tratamiento quirúrgico urgente y antibiótico de amplio espectro durante varias semanas cuando se presenta una de estas complicaciones. Si se diagnostica precozmente y se trata quirúrgicamente el foco sinusal y el intracraneal simultáneamente la tasa de resolución entre el 80% y el 100% según lo descrito en la literatura, a menudo sin secuelas neurológicas. Sin embargo, recientemente se ha cuestionado la necesidad de la cirugía endoscópica nasosinusal en la resolución de las complicaciones intracraneales.

Descargar PDF

Archivo: PDF Tamaño: 0.19

Bibliografia

  • Albu S, Tomescu E, Bassam S, Merca Z. Intracraneal complications of sinusitis. Acta otorhinolaryngol Belg. 2001; 55: 265-72.
  • Absceso epidural y sinusitis frontal. Nieto Gámiz A. Varona, García A. Vilaplana, López A. Ortíz Flores, R.M. García Rubio. Anales de Pediatría. Volume 82, Issue 4, April 2015, Pages 274-275.
  • Pott´s puffy tumor, intracranial, and orbital complications as the initial presentations of sinusitis in healthy adolescents, a case series. Einat Blumfield, Monika Misra. Emerg Radiol. 2011. 18: 203. 2010.
  • Complications of sinusitis. Tara F. Carr. Am J Rhinol allergy. 30, 241-245, 2016.
  • Spectrum of intracranial subdural empyemas in a series of 45 patients: current surgycal options and outcomes. Manoj K, Tewari, Rewati R. Sharma, Vind K. Shiv, Santosh D. Lad.Neurology India, Vol 52 Issue 3. 2004.
  • Outcomes of endoscopic sinus surgery for sinusitis-induced intracranial abscess in patients undergoing neurosurgery. Megumi Koizumi, Miho Ishimaru, Hiroki Matsui, Kiyohide Fushimi, Tatsuya Yamasoba, and Hideo Yasunaga. Neurosurg Focus 47 (2): E12, 2019.

Si quieres participar enviando casos clínicos, imágenes clínicas comentadas o formación médica, puede enviárnolos a gaesmedica@cpp-proyectos.com.

Normas editoriales
Descargar

PDF Tamaño: 205 kb